Explore Our Smile Gallery
More About Us
A Beautiful Smile Is Timeless
Our patient shares her amazing experience with True Smiles, praising the seamless journey from consultation to reveal. The team prioritized both aesthetics and oral health, leaving her proud to show off her confident new smile. She’s grateful for the transformative care!
→ Learn More About Veneers

He experienced a life-changing transformation with True Smiles’s upper All-on-X treatment. The team restored both function and beauty, giving him a full, natural-looking smile. Our patient is thrilled with him new confidence and grateful for the expert care!
→ Explore All-on-X Solutions

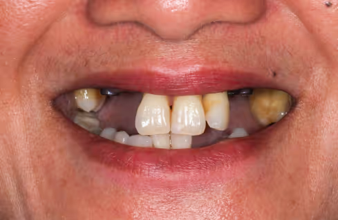
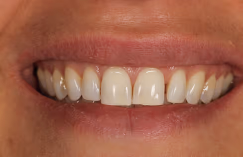
This patient had a full mouth reconstruction under sedation at True Smiles, making the process comfortable and stress-free. Now, he enjoys a fully restored, confident smile and is grateful for the excellent care he received.
→ Uncover Your Smile Transformation

Our dear patient restored her smile with crowns at True Smiles. The treatment gave her a natural, refreshed look, and she’s thrilled with the results and the expert care she received.
→ Discover How Crowns Can Help

This patient transformed her smile with upper and lower All-on-X at True Smiles. The procedure gave her a full, natural-looking smile, and she’s delighted with the life-changing results and the attentive care throughout her journey.
→ Explore Upper & Lower All-on-X

She achieved her dream smile with veneers at True Smiles. The custom veneers enhanced her teeth beautifully, and she couldn't be happier with her radiant, confident new look!
→ Discover the Power of Veneers

Our patient wanted a stable, natural-looking smile, and overdentures were the perfect solution. The treatment restored her confidence and comfort, giving her a beautiful, secure smile she can enjoy every day.
→ Learn More










